心斎橋・南堀江のマウスピース矯正・ホワイトニング歯科
心斎橋・南堀江のマウスピース矯正ストレスフリーな、
心斎橋・南堀江のマウスピース矯正ストレスフリーな、
新しい歯科体験を。
・インビザライン取扱い クリニック
ご来院数
70,000人
突破※
※2019年12月1日〜2026年2月17日の歯型スキャンへのご来院数の合計
Why Choose Us
が選ばれる6つの理由

01
総額固定 & 分割払いOK
治療期間が変わっても料金は変動なし。月々3,500円〜の分割払いにも対応しています。

02
通院回数を極限までカット
矯正開始後は原則通院不要。LINEサポートで日常の疑問にも迅速に対応します。

03
3Dで仕上がりを事前確認
精密スキャンで歯の動きをシミュレーション。治療前にゴールのイメージを共有します。

04
丁寧でわかりやすい説明
専門用語は使いません。納得いくまで何度でも説明し、不安を解消してから治療を始めます。

05
患者ファーストの提案
押し売りは一切なし。じっくり検討してから治療を開始できる安心の環境です。

06
矯正専門チームのサポート
矯正専門医が在籍。経験豊富なスタッフが迅速かつ丁寧に相談・治療をサポートします。
Pricing Plans
料金プラン
8割以上が選択
Basic
330,000円(税込)
上下前歯12本の部分矯正
平均矯正期間:3ヶ月※
軽度のガタつき・すきっ歯向け
軽度のガタつき・すきっ歯向け
Pro
660,000円(税込)
上下前歯24本の部分矯正
平均矯正期間:6ヶ月※
中程度の歯並びに対応
中程度の歯並びに対応
コンプリヘンシブ
880,000円(税込)
奥歯から動かす全体矯正
重度・複雑な症例に対応
幅広い歯並びに対応
幅広い歯並びに対応
診察料・検査料は無料 / 全プラン分割払い対応(デンタルローン可)
※2020/1〜2023/7 各プランの実績値(後戻り防止器具をつける保定期間を除く)
Doctor
理事長紹介
Honda Nobukiyo
本多 宣陽
一般社団法人OralX 代表理事 / 日本矯正歯科学会会員
福岡歯科大学卒業後、九州大学附属病院にて研修医を経験。その後、矯正歯科治療を専門に数多くの症例に携わる。KOGA ORTHODONTIC PROGRAM -Advance- 研修修了。
私たちは「未来の歯科体験を生み出す」ことを目標に、日々診療に取り組んでいます。デジタルツールを活用した最先端のサービスで、患者様お一人おひとりに最適な矯正治療をご提案いたします。まずはお気軽にご相談ください。
Treatment Flow
治療の流れ
01
02
03
04
05

無料カウンセリング
気になることを何でも相談できます

精密検査・診断
3Dスキャンで現状把握

治療計画の確認
シミュレーションで事前確認

矯正スタート
マウスピース装着・定期チェック

矯正ゴール・卒業
リテーナーで保定を行い、美しい歯並びを長くキープ
FAQ
よくある質問
Q
本当に通わなくてもいいのですか?
一度の歯型スキャンにお越しいただければ、ゴールまで設計できるため矯正開始後の定期通院は原則不要です。進捗はLINEで専門チームがサポートします。
Q
一般的にどのくらいの期間がかかりますか?
Basicプラン(前歯の部分矯正)は平均3ヶ月、Proプラン(奥歯からの全体矯正)は平均6ヶ月でほとんどの歯並びを改善できます。※実績値であり個人差があります。
Q
どのような症例に対応していますか?
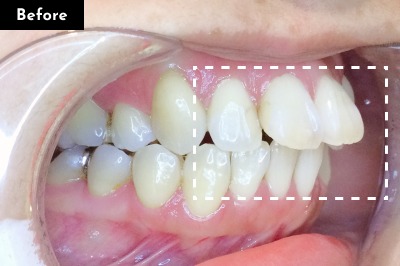
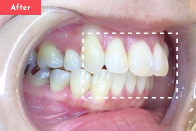
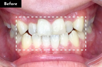
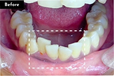
軽度〜中度の症例に対応しています。軽度の前歯のがたつき、出っ歯、すきっ歯、以前矯正された方の後戻りなど。重度・複雑な症例にはインビザライン コンプリヘンシブプランで対応可能です。
Q
マウスピース矯正のデメリットは何ですか?
装着時間の自己管理が必要です。1日20時間以上の装着を推奨しており、食事と歯磨き時以外は基本的に装着が必要になります。装着時間が短いと治療計画通りに進まない場合があります。
Q
ワイヤー矯正やインビザラインとの違いは?
Oh my teethは矯正開始後の通院が原則不要、最短2ヶ月で矯正完了、矯正完了まで総額固定である点が特徴です。インビザラインもお取り扱いしており、症例に応じて最適なプランをご提案します。
Access
アクセス
Address
〒550-0015
大阪府大阪市西区南堀江1-15-9
南堀江コレット 1F
大阪府大阪市西区南堀江1-15-9
南堀江コレット 1F
Tel
06-6626-9199
Access
四ツ橋線「四ツ橋駅」徒歩5分
Hours
平日・土日祝 10:00〜19:00
完全予約制
完全予約制
Other Clinics
系列クリニック
東京
JR「有楽町駅」徒歩1分
銀座・有楽町
東京銀座有楽町矯正歯科
東京交通会館 2F
東京
「表参道駅」徒歩3分
表参道
東京表参道矯正歯科
表参道駅周辺
東京
各線「池袋駅」直結
池袋
東京池袋矯正歯科
池袋駅直結
大阪
「梅田駅」徒歩4分
梅田
大阪梅田矯正歯科
M.VOLANTE UMEDA 7階
東京
各線「新宿駅」徒歩2分
新宿
東京新宿矯正歯科
MLJ新宿ビル 5階
名古屋
「名古屋駅」徒歩2分
名古屋
名古屋名駅矯正歯科
THE EDGE名古屋 3階
福岡
JR「博多駅」徒歩2分
博多
福岡博多矯正歯科
トヨタレンタリース博多駅前ビル 4階A
広島
JR「広島駅」徒歩5分
広島
広島矯正歯科
GRANODE広島 103区画
北海道
JR「札幌駅」徒歩5分
札幌
北海道札幌矯正歯科
ヒューリックスクエア札幌 3階
埼玉
JR「大宮駅」徒歩3分
大宮
埼玉大宮矯正歯科
MiRiスクエア大宮 3階
矯正歯科治療にともなうリスクについて
- 保険適用外の自由診療となります。
- 1日20時間以上の装着をお願いしております。装着状況は、歯の移動量や効果に影響します。
- 理想の歯並びに近付けるよう、綿密に治療計画を立てています。ただし、実際の歯の動きには個人差があるため、必ずしも想定した通りに歯が動くという訳ではありません。
- Oh my teethのマウスピース矯正に限らずすべての歯科矯正に共通することですが、効果や感じ方、また歯がどのくらい動くかについては個人差があり、どの矯正方法を選んだ場合でも、満足のいく治療結果が得られない可能性があります。歯科矯正治療におけるリスクの詳細はこちらをご覧ください。















